Cardiac
GI
Bone
GU
Neuro
Peds
Faculty
Student
Quizzes
Image DDX
Museum
Mobile
  Misc
Videocasts
Signs
Twitter

 

 


Learning
Radiology:
Recognizing
the Basics

Available
on the Kindle
and IPad


LearningRadiology Imaging Signs
on Twitter


 

Follow us on

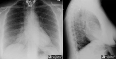
Case of the Week 503


What is the most likely diagnosis?

  • 51 year-old with chest pain



Frontal and Lateral Chest Radiographs

  1. Ingested Foreign Body
  2. Right Lower Lobe Pneumonia
  3. Epicardial Fat Pad
  4. Asbestosis
  5. Pericardial Effusion

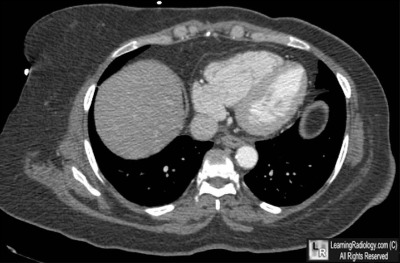
Additional Image-Axial CT of Lower Thorax

 

Additional Images

 

Axial CT of Lower Thorax


Answer:

 

3. Epicardial Fat Pad

 

More (Click Discussion Tab)

 

 

Epicardial Fat Pad

General Considerations

  • An accumulation of fat between the parietal pericardium and the parietal pleura, usually found incidentally on chest radiography
  • Most common in either the right cardiophrenic angle or adherent to the left ventricle at the apex of the heart
    • On the left side, it blunts the normal rounded apex of the heart
  • Can be mistaken for pneumonia or a mass
     

MORE . . .

 


.

This Week

51 year-old with chest pain
 
Presented as a series of cards, this podcast asks some of the most common causes of neuroimaging findings and diseases making it ideal for a quick review. Can be used as either an audio only or audio/video podcast.; Complements Video Flashcard Podcasts 15, 21,25, 38, 42, 46 and 47.
 
 
Some of the fundamentals of interpreting chest images
 
The top diagnostic imaging diagnoses that all medical students should recognize according to the Alliance of Medical Student Educators in Radiology
 
Recognizing normal and  key abnormal intestinal gas patterns, free air and abdominal calcifications
 
Recognizing the parameters that define a good chest x-ray; avoiding common pitfalls
 
How to recognize the most common arthritides




LearningRadiology
Named Magazine's
"25 Most Influential"



See Article on LearningRadiology
in August, 2010
RSNA News


LearningRadiology.com
is an award-winning educational website aimed primarily at medical students and radiology residents-in-training, containing  lectures, handouts, images, Cases of the Week, archives of cases, quizzes, flashcards of differential diagnoses and “most commons” lists, primarily in the areas of chest, GI, GU cardiac, bone and neuroradiology.